صحة

توقيع جيني من تسعة جينات وصبغة الميثيلين الأزرق يحسّنان تشخيص وعلاج الملاريا الدماغية

لا تزال الملاريا تشكّل عبئا صحيا واقتصاديا كبيرا على العديد من الدول النامية، حيث تتسبب في خسائر بشرية واسعة، وإعاقات طويلة الأمد، واضطرابات اقتصادية ملحوظة، ووفقا لمنظمة الصحة العالمية، يتسبب المرض في نحو 600 ألف حالة وفاة سنويا، معظمها في الدول ذات الدخل المنخفض والمتوسط، حيث لا يزال الوصول إلى التشخيص والعلاج …

أكمل القراءة »

دواء يستهدف طفرة نادرة.. بصيص أمل جديد لمرضى التصلب الجانبي الضموري

كشفت دراسة سريرية حديثة أن دواء “توفيرسن” (Tofersen) قد يبطئ تطوّر أعراض شكلٍ وراثي نادر من التصلّب الجانبي الضموري (ALS)، وربما يحسّن بعض الوظائف لدى فئة محدودة جداً من المرضى تحمل طفرة SOD1، وهي تمثل قرابة 2% من حالات المرض.  ويعمل الدواء عبر استهداف الحمض النووي الريبوزي المرسال (mRNA) المرتبط …

أكمل القراءة »

بروتين التهابي يكشف خطر أمراض القلب بدقة أعلى من الكوليسترول

تُعد أمراض القلب السبب الرئيسي للوفاة في الولايات المتحدة. ومنذ أن أثبت الباحثون في خمسينيات القرن الماضي وجود علاقة بين النظام الغذائي والكوليسترول وأمراض القلب ، أصبح تقييم خطر الإصابة يعتمد جزئيا على قياس مستويات الكوليسترول في الدم، وهو فحص روتيني يُجرى في عيادات الأطباء.   لكن خلال العقدين الماضيين، تراكمت …

أكمل القراءة »

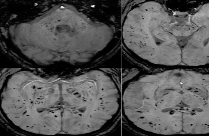
تحليل بالرنين المغناطيسي يكشف تأثير كوفيد-19 المستمر على الدماغ

أظهر تحليل صور بالرنين المغناطيسي أن فيروس كوفيد-19 يترك أثرا لا يُمحى في الدماغ، ويستمر تأثيره حتى بعد التعافي التام.   أظهرت دراسة حديثة أجراها علماء في جامعة غريفيث الأسترالية ونُشرت في مجلة Brain, Behavior, & Immunity Health أن فيروس كوفيد-19 لا يؤثر على الجهاز التنفسي فحسب، بل يترك أثرا …

أكمل القراءة »

اكتشاف هام فى علاج سرطان الرئة.. فحص دم جديد يكشف الأورام

طور علماء فى المملكة المتحدة اختبار دم ثوريا قادرا على الكشف عن سرطان الرئة خليةً خليةً باستخدام الأشعة تحت الحمراء بتحويل فورييه (FT-IR)، تُحدد هذه التقنية الخلايا السرطانية المنتشرة من خلال بصمتها الكيميائية الفريدة، مما يتيح التشخيص المبكر، والمراقبة الآنية، وتقليل التدخلات الجراحية، وربما علاجًا أكثر تخصيصًا للسرطان في المستقبل، …

أكمل القراءة »

دراسات علمية جديدة تكشف أن فيروس كوفيد-19 يغيّر وظائف الدماغ حتى بعد التعافي

كشفت دراسة علمية جديدة أجراها باحثون من المركز الوطني لعلم المناعة العصبية والأمراض الناشئة بجامعة غريفيث أن الإصابة بفيروس كوفيد-19 قد تؤدي إلى تغيّرات مستمرة في وظائف الدماغ، حتى بعد التعافي السريري الكامل من المرض.   وأظهرت النتائج، التي نُشرت في مجلة علمية متخصصة، أن العدوى تترك آثارا قابلة للقياس في الجهاز …

أكمل القراءة »

جين مرتبط بالخصوبة يمنح خلايا سرطان الدماغ قدرة مذهلة على البقاء!

 في تقدم علمي قد يحمل أملا جديدا لمرضى أحد أخطر أنواع سرطان الدماغ، اكتشف باحثون في جامعة سيدني الآلية التي تمكن خلايا ورم الغلوبلاستوما من النجاة من العلاج والعودة مجددا.   ويعد هذا الورم العدواني، الذي يبلغ متوسط بقاء المصابين به على قيد الحياة نحو 15 شهرا فقط، من أكثر …

أكمل القراءة »

دراسة: أوزمبيك ومونجارو قد يسببان سعالا مزمنا لمرضى السكري

أشارت دراسة كبيرة إلى أن مرضى السكري من النوع الثاني أكثر عرضة للإصابة بالسعال المزمن عند استخدام أدوية تحاكي عمل هرمون “جي إل بي-1” (مثل أوزمبيك ومونجارو) مقارنة بأدوية السكري الأخرى.   ترتبط هذه الأدوية بمستقبلات هرمون “جي إل بي-1” في البنكرياس الذي تفرزه الأمعاء بعد تناول الطعام وهذا يؤدي …

أكمل القراءة »

رابط جديد بين طفرات بروتينية وأمراض خطيرة تهدد الحياة

أظهرت دراسة جديدة، من جامعة ويسكونسن-ماديسون، أن الخلل في بروتين حيوي معني بالحفاظ على استقرار الكروموسومات قد يسهم في ظهور حالات صحية خطيرة، وفي بعض الأحيان قد يكون مميتاً ، وتقدم الدراسة، المنشورة في مجلة “ساينس”، للمرضى والأطباء طفرات بروتينية جديدة يمكن فحصها عند تشخيص بعض أنواع السرطان واضطرابات نخاع …

أكمل القراءة »

اكتشاف جزيء من بكتيريا بحرية يمنع تطوّر الإنتان ويفتح آفاقا لعلاجات جديدة

أعلن علماء معهد الكيمياء الحيوية التابع لفرع الشرق الأقصى لأكاديمية العلوم الروسية (ДВО РАН) عن اكتشاف جزيء (LPS) جديد مستخلص من بكتيريا Kangiella japonica البحرية. ويمتلك هذا الجزيء قدرات بارزة على حماية الخلايا البشرية من تطور الإنتان بفضل خصائصه المناعية الفريدة، بحسب ما أعلنته الجهة البحثية عبر وكالة ТАСС Наука. جزيء بحري …

أكمل القراءة »